医療ホワイトニング60分

8,000円

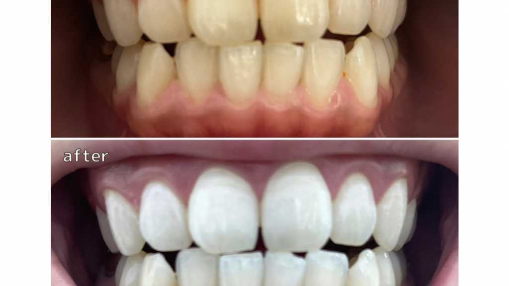
サービス説明

医療ホワイトニングサービスは、医療提携でより効果的な美白効果が期待できます。当店で受けられるオンライン診療を受けて頂きジェルが処方されます。 ⚫︎ジェル代別 自宅郵送 送料込み7,430円   ジェル1本で4回来店分あります。 そのジェルを使用し歯の内部まで浸透させます。 美容ホワイトニングより、より早く白くしたい方にオススメです。施術後は、歯の透明感がアップし、笑顔に自信がつきます。 安全性と効果を重視した施術を提供し、お客様の美しさをサポートします。

所要時間(目安)

60

お支払い方法

現地支払い
freee予約 | 旧tol(トル) | 無料から利用できる予約システム利用規約プライバシーポリシー特定商取引法に基づく表記
Copyright © 2012-2025 freee K.K.