ログイン
WHITENINGSALON ENNE
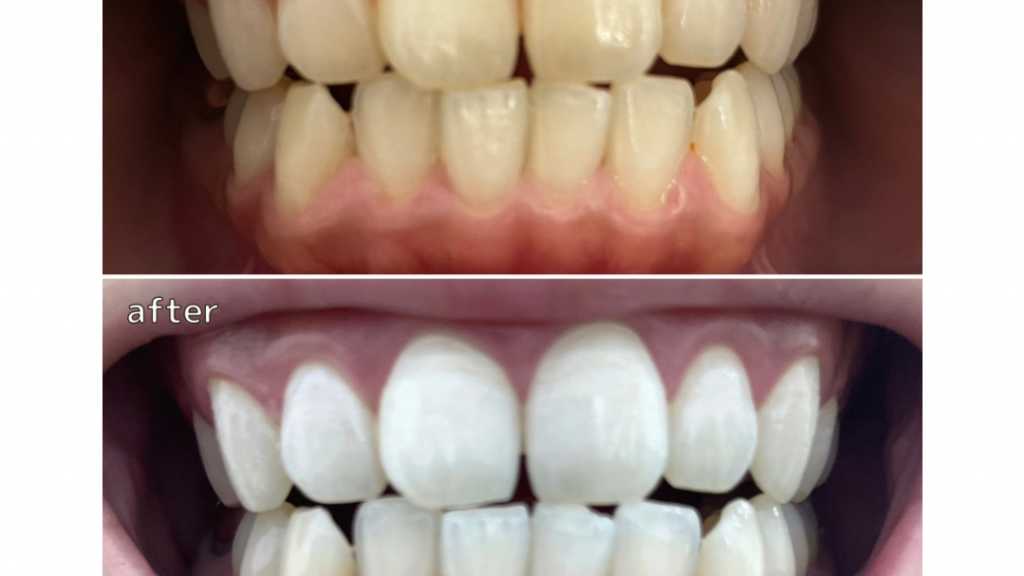
医療ホワイトニング 回数券 2〜4回目
0円
サービス説明
◾️カウンセリング ◾️当日の流れ ◾️注意事項確認
所要時間(目安)
約60分
予約できる日を探す
freee予約 | 旧tol(トル) | 無料から利用できる予約システム
利用規約
プライバシーポリシー
特定商取引法に基づく表記
Copyright
©
2012-2025 freee K.K.